张现忠教授团队在《Advanced Materials》期刊发表研究成果
近日,金沙集团1862cc分子影像暨转化医学中心张现忠教授团队在国际知名期刊Advanced Materials杂志(影响因子为17.493)发表题为《Superfluorinated PEI derivative coupled with99mTc for ASGPR targeted19F MRI/SPECT/PA tri-modality imaging》的研究论文。

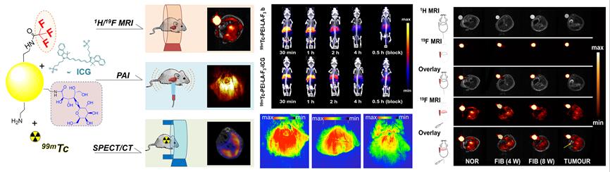
本研究以树状聚乙烯亚胺为骨架,在其表面胺基上修饰19F官能团及ASGP受体靶向基团。该多功能大分子可利用其表面大量的19F基团实现19F MRI成像;同时,基于树状聚乙烯亚胺的独特的属性,如具有结构空腔、易结合金属离子、带有正电荷等特性,可进行放射性核素99mTc的标记及ICG染料的载带,从而实现SPECT及光声成像。在体内外测试中我们发现该探针具有合成简单、水溶性好、体内清除快、毒性小等优点,克服了常见的19F MRI及光声探针在这些方面的不足。此外,其具备良好的靶向性,可成为性质优良的去唾液酸糖蛋白受体(ASGPR)显像剂,用于肝脏疾病的检测(如肝纤维化、肝癌等)和肝功能的鉴定,为个性化治疗及精准医疗的发展提供了有力支持。
该论文第一作者郭志德为在金沙集团1862cc交流的博士生,通讯作者是张现忠教授。该项研究工作得到了国家科技部973课题、国家自然科学基金以及厦门大学校长基金等项目的支持。
全文连接:http://dx.doi.org/10.1002/adma.201601064